Insights, Tips, and News from Your Trusted Greensboro Dental Team
Maintaining great personal hygiene has never been more important, given the current pandemic situation that…
You’ve probably heard someone tell you about getting wisdom teeth removed irrespective of whether you…
Getting braces is not anymore a symbol of awkwardness captured forever in high school yearbooks.…
It is known that an optimal level of fluoride in water is safe and effective…
What is a Stroke? To understand the association between stroke and oral health, one should…
It’s something that you’ve heard over and over but why are regular dental visits so…
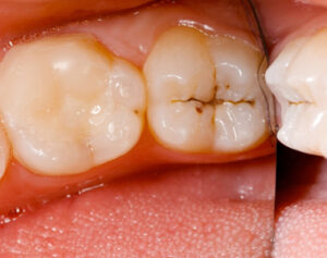
What is Tooth Decay? Tooth decay is damage to a tooth’s enamel. This can happen…
Many people experience dry mouth once in a while. This is most likely caused by…
Brushing and flossing are everyday ways to keep your teeth bright, white, and healthy. Still,…
We are Rebranding!